Contact: +91 98110 93891

E-Mail: info@regionaldiagnostic.org

About

At Regional Diagnostics, we are committed to providing accurate, reliable, and fast medical diagnostic services. With 3 state-of-the-art laboratories located across the city, we aim to make healthcare accessible and convenient for everyone

Our team of certified pathologists, radiologists, and technicians ensure that every report is delivered with utmost accuracy and confidentiality.

✅ 15+ Years of Experience

✅ NABL & ISO Certified Labs

✅ 50,000+ Patients Served

✅ Online Report Access

Location Selector Section

Sonipat ( Haryana)

Faridabad

On Click, display Location-wise services & booking option.

Services Offered

1. Regional Diagnostics Centre, Sonipat (Haryana)

  • CT Scan – Head, Chest, Abdomen
  • X-Ray – All types

2. Regional Diagnostices Centre, Faridabad

  • CT Scan – Head, Neck
  • Ultrasound – Abdomen, Pelvis
  • MRI – Brain, Spine

Why Choose Us?

Advanced Diagnostic Equipment

Fastn & Accrate Reporting

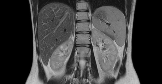
M.R.I.

Magnetic resonance imaging (MRI) is a test that uses a magnetic field and pulses of radio wave energy to make pictures of organs and structures inside the body.
Siemens MAGNETOM Spectra a state of art 3Tesla MRI imaging for broad realm of clinical applications and access to premium clinical care. Ultra-Short MRI system – head out in most exams for anxious patient Light weight and ergonomically designed open architecture coils with smooth connection – less claustrophobia experience.

Scroll to Top